MULTIMODALITY ADAPTIVE IMAGING SYSTEM FOR EQUINE EXTREMITY STUDIES
Adapting FOV to a desired extremity location without moving the animal(by source and detector motion modulation). Registering and compensating of animal motion in order to obtain high spatial resolution images.
See more about MAISEES...
OUR SYSTEM DESIGN IN GEOPHYSICS APPLICATIONS...
Dual arm robotic cone-beam CT system for porous media research Characterization of gas and liquid, flowing through a porous media, is one of the most critical knowledge in petroleum industry related science. Such experiments must be performed without a removal of a sample from a complex lab infrastructure.
read more about GEDAMIS...
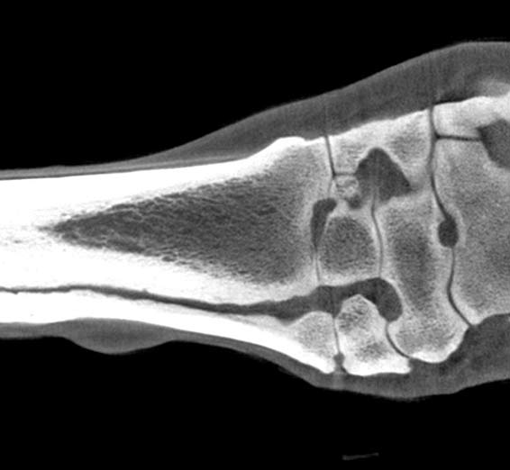
DUAL ARM ROBOTIC MULTIMODALITY SYSTEM FOR EQUINE APPLICATIONS
Making tomographic scans of standing horses with minimal sedation. The video demonstrates the efficiency of Orimtech motion compensation technology: sharp extremity 3D CT image acquired from the standing and moving horse. Digital radiography and fluoroscopy acquisition and image processing specifically optimized for equine applications
read more about EDAMIS...ORIMTECH SOLUTIONS SUPPORT IMAGING OF MOVING OBJECTS
Registration and compensation of sporadic motion.
In equine scanning applications: no anesthesia, light sedation only, high-resolution 3D images without motion artifacts.
See more equine images...
Cone-Beam CT and tomosynthesis reconstruction software package
Supports systems with non-circular trajectories by dynamic geometry registration. Motion compensation for solid scanned objects.
read more about AVRG...
Software platform ideal to build custom X-Ray system
Customizable acquisition and advanced visualization for all X-Ray imaging modalities. Intuitive GUI, object/patient database, full DICOM support.
read more about ACE...
Cost-effective dynamic areal detectors for CBCT, fluoroscopy, and radiography
Supporting resolution above 5 lp/mm and dynamic imaging at frame rates above 30 FPS. High energy, custom size, wireless, battery operated versions available.
read more about Iona...



